Author: ERIN PRATER
-

Former Colorado internment camp nears national historic site designation after lone Republican senator concedes
—
by
A World War II-era internment site for Japanese Americans on Colorado’s eastern plains is one step closer to becoming a national historic site, after a lone Republican senator holding up the required legislation reached consensus Monday with a Colorado Democrat. The Amache National Historic Site Act – carried in the Senate by Colorado Democrats Sens.…
-

Cosmetic procedures in Colorado to halt Monday under new public health order
—
by
Non-essential cosmetic procedures in Colorado must halt Monday under a public health order issued Sunday by the state health department. The order – which requires hospitals and surgery centers, including outpatient ones, to “immediately cease” cosmetic procedures that can be delayed up to six months without causing “harm to life, limb or function” – goes into effect…
-

Government Accountability Office to review decision to uproot Space Command from Colorado Springs: Lamborn
—
by
The federal Government Accountability Office will review the process behind the Air Force’s decision to uproot the headquarters of U.S. Space Command from Colorado Springs and move it to Huntsville, Ala., Colorado Springs congressman Doug Lamborn announced Friday. The office will “review matters relating to the methodology and scoring” of the Air Force’s decision-making process, according to…
-

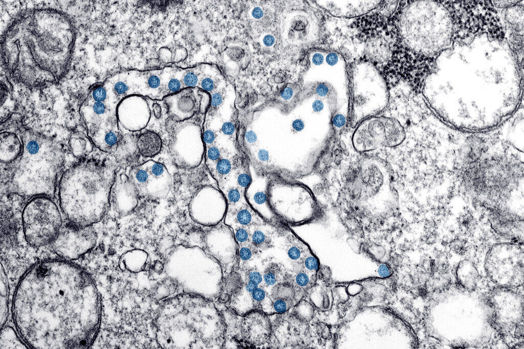
South African COVID variant detected in Colorado for the first time
—
by
The highly transmissible South African COVID-19 variant has been detected in Colorado for the first time – in two staff members and an inmate at a state-run prison in Buena Vista – state officials said late Sunday. The cases were detected by the state health department’s laboratory after samples were chosen at random for COVID-19…
-

Inspector general reviews Trump relocation of Space Command from Colorado Springs
—
by
The Pentagon’s watchdog will investigate the Trump administration’s January decision to uproot the headquarters of U.S. Space Command from Colorado Springs and move it to Huntsville, Ala., officials announced Friday. The investigation, by the Defense Department’s inspector general, will evaluate the extent to which the Air Force complied with the department’s policies, as well as those…
-

Winter storm delays vaccine shipments to Colorado, other states, officials report
—
by
The winter storm hitting a large part of the country is delaying shipments of COVID-19 vaccines, including to Colorado, state officials said Tuesday. The storm has affected operations at a Tennessee distribution hub and has delayed Colorado’s allocation of 133,000 doses, which were expected to arrive Tuesday through Thursday. In anticipation of the Presidents Day…
-

Think forecasting COVID in Colorado was tough in 2020? It will be tougher in 2021, experts say
—
by
A mix of policy and behavior helped Colorado dodge a bullet late last year, contributing to a cumulative 2020 COVID-19 death count far below some of the worst-case scenarios predicted by the state’s modeling team in the fall, one of its members says. But were other factors at play? Was the modeling off? Did Colorado…
-

Polis delivers rapid COVID-19 testing kits to Front Range educators
—
by
Colorado Gov. Jared Polis hand-delivered rapid COVID-19 test kits to Front Range educators Monday, making stops at homes in Fountain and Pueblo as well as in Denver. Delivery of the kits – each containing six tests meant for use once every five days, according to the federal Food and Drug Administration – paralleled the Monday launch of…
-

UK COVID variant ‘very minor’ in Colorado, but randomness is troubling
—
by
The presence of a highly transmissible UK variant of COVID-19 in Colorado is “very minor,” state officials said this week, noting that only 11 cases have been identified. But how many cases have gone unidentified, some wonder, including a Colorado College microbiology professor with a history of accurate El Paso County virus projections. The handful…
-

Mass event at Coors Field in Denver to vaccinate 10,000 seniors this weekend
—
by
Up to 10,000 elderly Coloradans could get a COVID-19 shot at a mass vaccination at Denver’s Coors Field this weekend. The setting: a mile and a half stretch of parking lot, 10 lanes wide. In a series of heated tents, preregistered patients will receive the potentially life-saving vaccine and be monitored for a reaction, all…










